衛生管理・設備紹介
全ての基本は徹底した衛生管理から
高温、高圧、超音波等による多段階滅菌消毒
当院では様々な機器を活用して、歯科器具の多段階滅菌消毒を行っています。
口腔内での唾液や血液の付着する治療。
安心、安全には細心の注意をはらっております。
高圧蒸気洗浄器、超音波洗浄器等、多段階洗浄を行い、その後も紫外線滅菌庫に保管。
最終的には、皆様の所へ滅菌パックされた状態でご用意いたします。
衛生面を徹底しておりますので、安心してご来院下さい。

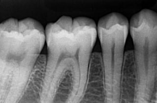
デジタルレントゲン
患者様に負担をかけず、現状を詳しく把握すること。
超高感度だから被曝量が軽減され、お子様にも優しいレントゲン。
当院のデジタルレントゲンは、従来のフィルムを使用したレントゲン撮影に比べ、人体に受ける放射線の量を、約1/4~1/10に抑える事が可能です。
照射時間が短縮され、より低線量でのレントゲン画像取得が可能となります。
お子様にも安心です。

高周波電気メス
身体に負担の少ない電気メス
歯肉やお口の粘膜を切開したり、整形、止血する高周波の治療器具です。
痛みも軽減し、出血が少なく、腫れを起こしにくいため、従来のメスによる切開よりも早く回復します。
※電気メスは電気を通すため、ペースメーカーを使用している方には使えません。
超音波スケーラー
超音波スケーラーは、主に歯肉縁上歯石のスケーリングを行なう際に使用します。
超音波スケーラーは、毎秒約25000~40000回の振動によって歯石を破壊し、除去します。
また、超音波スケーラーは歯石の除去以外にも、クラウンなどの補綴物の除去や根管洗浄にも使用されることがあります。
根管長測定器
根管長測定器とは、歯科治療における抜髄、感染根管処置の治療の際に用いる測定装置です。
抜髄、感染根管処置の治療にあたっては、根尖部までしっかりと感染物質を除去し、その後、根管充填材を根尖部まで綿密に充填すべきというのが歯科医学の考え方です。
それにあたって湾曲している根の正確な長さの把握が不可欠であり、根管長測定器は口腔粘膜と根管内に挿入した測定電極の先端との間のインピーダンス値を測定することにより、根の長さを把握する装置です。