診療詳細
歯科・小児歯科・歯科口腔外科
当院は、お子様からご年配の方まで、幅広い年齢の方々へ対応しております。
少しでもリラックスして治療を受けていただけるよう、コミュニケーションを大切にし、心配りをしております。
定期検診を根本に、早期発見・早期治療をめざし、大切な歯を失うことのないメンテナンス、治療を提供しております。
・歯が痛む ・虫歯を治したい ・食事をよくこぼす ・口臭が気になる ・タンが絡む ・入れ歯を作りたい ・何か違和感がある ・お子様が健診で虫歯と言われた ・定期的にチェックしたい ・歯茎が腫れていたい ・インプラントに興味がある ・歯を白くしたい ・歯並びが気になる ・歯のクリーニングがしたい ・入れ歯が合わない、落ちる、気持ち悪いなど・・・
気になることがございましたら、お気軽にお声がけ下さい。
ご一緒に、より良い口腔内環境を作り上げて行きましょう。
歯科口腔外科とは
むし歯や歯周病治療といった一般歯科に加えて、口の中とあごの骨、関節、唾液(だえき)をつくる腺やその周りの病気を治療対象とし、話をしたり、物を食べたりする「口の機能」を維持増進することを目的としています。
そのため、歯のみではなく、顎関節、口腔粘膜の難治性口内炎、顎下腺・舌下腺などの唾液腺疾患を含め、口の中、あご、舌の疾患全般を対象に診断・治療を行っております。
例えば、難しい親知らずの抜歯、自家歯牙移植、顎関節症、舌痛症、口腔乾燥症(ドライマウス)、神経痛、骨髄炎などの炎症疾患、神経麻痺、インプラント手術、インプラント植立前の骨増生手術、顎変形症手術、有病者の歯科治療、嚢胞や良性腫瘍の摘出手術、また、口の中やあごなどのガンの治療も行うこともあり、歯科口腔外科は歯科と医科の両方にまたがる治療を行うケースがあります。
交通事故や物にぶつかって歯に損傷ができた場合や脱臼歯の再植、口唇の裂傷、あごの骨の骨折の整復処理などの外傷も歯科口腔外科で扱います。
疑わしい症状やお困りの事があれば、お早めにご相談ください。
定期検診・クリーニング
定期検診
当院では定期健診による、早期発見、早期治療、を推奨しております。
この定期健診を受けることにより、虫歯だけではなく、歯周病など歯茎のトラブルも早期発見、早期治療が可能です。
いつまでもご自身の歯で食事を摂り快適な生活を送るため、定期的に検診を受けましょう。
PMTC
専門のトレーニングを受けた衛生士が、専用の器具を使って行う口腔内清掃です。
歯石・プラークはもちろんのこと、歯ブラシだけでは取れないバイオフィルムや、自分では取れないすき間に残った汚れを徹底的に除去します。
定期的にクリーニングを受けることにより、口腔内環境は良い状態に保たれます。
※バイオフィルム:むし歯や歯周病を引き起こす細菌のかたまり。
ホワイトニング
専用のお薬を塗って歯の色素を分解し、歯を削ることなく白くする方法です。
喫煙や紅茶、コーヒーの飲用などによる歯の変色、老化や遺伝による黄ばみにも優れた効果があります。
当院では、医院にて行うオフィスホワイトニング、ご自宅で行えるホームホワイトニング、両方行うデュアルホワイトニングを取り扱っております。
患者さまの歯の質やご希望などをお聞きし最適な方法をご提案いたします。
ポリリン酸プラチナホワイトニング
従来の「痛そう、高そう、我慢することが多そう…」といったイメージをくつがえす、まったく新しい施術方法を導入しております。
痛みが圧倒的に少なく、白さは従来の3倍、ラジカル2.81倍、短時間の施術で終了でき、施術後すぐにでもカレー、コーヒー等の飲食も出来る優れものです。
白くしたい時に、いつでも出来るのが特徴です。
「ポリリン酸プラチナホワイトニング」の詳細はこちらからどうぞ。
オフィスホワイトニング
医院にて行うホワイトニングを「オフィス・ホワイトニング」といいます。
1回の施術でホワイトニングの効果が出るので、短時間で歯を白くしたいにおすすめです。
価格:1回目 7,700円 ・2回目 4,400円 ・3回目 4,400円
※格安にて提供しております。
※オフィスホワイトニングの効果をキープするために、いつでも手軽に行える「ホームホワイトニング」を併用する、デュアルホワイトニングがおすすめです。
※価格は全て税別です。
ホームホワイトニング
ご自宅にて行うホワイトニングを「ホームホワイトニング」といいます。
ホワイトニング専用のマウスピースに薬剤を入れ数時間ほど装着する簡単なホワイトニング方法です。
※一度マウスピースを作ってしまえば、その後は薬剤のみの購入も可能です。
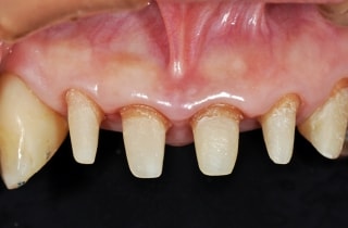
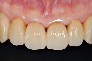
白い歯
オールセラミック
内外共にセラミック素材で製作したもので、天然歯に近い自然な感じで見た目もよいです。
被せもの全体がガラス(ニケイ酸リチウムガラスセラミック)を主成分にしたセラミックにて出来ているもので、とても透明感が高く色調もきれいです。
本来の天然歯と同じか、それ以上の色調・形態を再現します。
金属を使用しないため金属アレルギーの心配はいりません。
・強度に優れているため、噛み合わせの強い方や、くいしばり・歯ぎしりをする方に有効
・非常に見た目が良く、ほとんど変色しない
・汚れ(プラーク)が付きにくい
・歯と分子レベルで強固に接着するため、治療した部分から虫歯になりにくい
・価格がジルコニアセラミックより安い
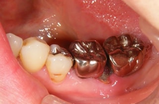
ジルライトクラウン
銀歯を低価格で白い歯に。
最新鋭のコンピュータ機器(CAD/CAM)を使い、ジルコニアのブロックを削りだして作り上げる歯です。
デジタル化を根本として合理化により、オールセラミックスに比べ低価格で提供出来ます。
口を開けて大笑いすると下の歯は丸見えで銀歯は目立ちます。
アレルギーもなく、審美性の高い白い歯、おすすめです。
お気軽にお問い合わせください。
コンポジッドレジン
修復用コンポジットレジン。
本物の歯に近い質感・色調・舌触りを可能にした歯の修復材です。
天然歯と同じような見た目の修復が可能です。
メタルボンド
メタルボンドとは、中身は金属で、
外から見える部分にのみセラミック等を貼り付けたクラウン(被せ物、差し歯)です。
見た目がよく、セラミックの場合は変色せず、強度も強いので非常によく使用されます。
・色が歯に似ているので見た目が良い。
・中身が金属なので強度が強く、ほとんどの部位に使用できる。
・中の金属に貴金属を使用することで、金属が溶け出すことによる歯ぐきの変色、金属アレルギーなどが起こる可能性を低くすることができる。
デンチャー(義歯・入れ歯)
当院では、満足度の高い義歯を提供出来るよう、多種多様なものを取り扱っております。
また、下顎の骨が痩せてしまって義歯が安定せず、お困りの方には「磁石式インプラント」を併用した義歯がおすすめです。
保険対応の義歯から、機能的で審美性の高い保険外義歯まで幅広く取り扱っております。
院長と相談しながら最適なものを選びましょう。
保険対応義歯(入れ歯)
保険の入れ歯は使う材料の種類が限られているため、場合によっては残っている歯の色、形とのバランスが悪くなることがあります。
留め金があり、残っている歯を取り囲むようにして入れ歯を固定するため、歯の状態によっては、笑ったときに見えたり、多少口の中で違和感があります。
樹脂製の義歯は割れやすいので、かなり厚くなっています。
また、熱を伝えにくい材質なので、食べ物の温度、味覚が感じにくくなります。
Proデンチャー(バネのない入れ歯)
審美性を追及した、バネの無い入れ歯です。
入れ歯と気づかれにくく、自然な笑顔でいられます。
吸水性が低いので表面に雑菌が付きづらいため臭くなりにくく人体へのなじみも良いです。
また、金属アレルギーの心配もなく、快適で自然な審美性の高い入れ歯です。
金属床
フレームに金属を使用し、薄くて軽く、強度に優れ、密着性や装着感の高い義歯です。
金属は熱伝導率が高く、味覚のひとつである食べ物の温度が瞬時に伝わるため、食感も楽しむことができます。雑菌や汚れも付着しにくく衛生的にも優れた入れ歯です。
軽くて丈夫、生体親和性の高いチタンやコバルト等を用いた義歯を提供しております。

セルフケア
当院では、様々な衛生用品をご用意し、皆様がご自宅で良好な口腔内環境を維持するためのセルフケアのご案内もしております。
歯科でオススメする本格的なケア用品を是非お試し下さい。